
Your Saginaw Dentist

Opening Hours
Day | Hours |
---|---|
Monday | 8:30 a.m. - 5:30 p.m. |
Tuesday | 8:30 a.m. - 5:30 p.m. |
Wednesday | 8:30 a.m. - 5:30 p.m. |
Thursday | 8:30 a.m. - 5:30 p.m. |
Friday | 8:30 a.m. - 3:00 p.m. |
Saturday | 8:00 a.m. - 2:00 p.m. |
Sunday | Closed |
Your Saginaw DENTAL FILLING EXPERTS
Frequently Asked Questions
How long does a dental filling procedure take?
After the initial examination, a dental filling typically takes around 15-30 minutes per quadrant (i.e., upper right quadrant). At Today Dental of Saginaw, whenever possible, we prioritize completing all necessary fillings in a single visit to save you time and money.
What is the cost of a dental filling?
Dental fillings are generally the most cost-effective method for restoring a tooth's natural form, function, and aesthetics. The cost of a filling is determined by two primary factors:
- Location: Fillings on teeth located further back in the mouth tend to be more expensive than those on front teeth.
- Number of Surfaces Filled: The more surfaces (out of six) requiring filling due to decay or fracture, the higher the cost.
In most instances, dental insurance covers 80% to 100% of the cost. If you don't have dental insurance, Today Dental of Saginaw offers an in-office discount plan (CareDent) to provide insurance-like pricing.
What should I expect during my first filling appointment?
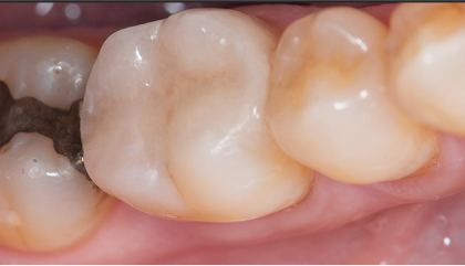
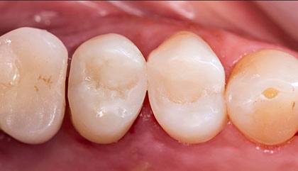
In some cases, the dentist might administer anesthesia (numbing) before the filling procedure. For shallow decay, anesthesia might not be necessary. The dentist will then prepare the tooth using a handpiece (drill) to remove all decay and fractures. Subsequently, the tooth will be filled with a tooth-colored composite resin hardened using light activation. Your bite will be adjusted for comfort, the filling will be polished, and the procedure is complete.
Why should I get a dental filling?
At Today Dental of Saginaw, we prioritize conservative dentistry, aiming to preserve as much natural tooth structure as possible. Whenever feasible, dental fillings offer a more conservative and cost-effective approach compared to crowns. If sufficient tooth structure remains, we will always prioritize fillings. Rest assured, our dentist will only recommend treatments absolutely necessary, treating all patients like family with unwavering commitment to quality and ethical practices.
Do you repair existing fillings?
Yes! Whenever possible, we prioritize a conservative approach, opting for repairs over complete replacements. However, if decay is present, complete removal of the existing filling might be necessary. We will always strive to preserve any previous dental work as long as it doesn't compromise function or durability.