Implants…

Absolutely!
Experience Matters.
0
Implants placed... and counting ;)

Your Saginaw Dentist

Owners of Today Dental

Dr. Nicole Branca Today Dental Saginaw

Implants designed to last!

No compromises here – at Today Dental of Saginaw, we bring you top-notch dental implants using the latest implant technology. We use the upgraded hydroxyapatite-coated titanium implants tailored just for you!

Less trips to the dentist

We streamline the implant process using high-tech tools, cutting down on appointments for a more efficient experience. More time for family, less time in the dental chair!

Implant masters at your service!

We’re obsessed with perfecting the art of dental implants. Our continuous learning and collaboration with local labs mean you get nothing but perfection at Today Dental of Saginaw!

Money savings

Dental implants that won’t break the bank! Today Dental provides you with top-notch implants without burning a hole in your wallet. Your smile, your savings – it’s a win-win!

Many solutions – One implant

From solo implants to full-mouth solutions like an All-On-Four, we’ve got the fix for you! Your treatment, your way.

Pain free, easy appointments

Fearful of the dentist? Fear not! At your Saginaw dentist we provide options – nitrous oxide known as laughing gas, oral conscious sedation and IV sedation.

Implants designed to last!

No compromises here – at Today Dental of Saginaw, we bring you top-notch dental implants using the latest implant technology. We use the upgraded hydroxyapatite-coated titanium implants tailored just for you!

Less trips to the dentist

We streamline the implant process using high-tech tools, cutting down on appointments for a more efficient experience. More time for family, less time in the dental chair!

Implant masters at your service!

We’re obsessed with perfecting the art of dental implants. Our continuous learning and collaboration with local labs mean you get nothing but perfection at Today Dental of Saginaw!

Money savings

Dental implants that won’t break the bank! Today Dental provides you with top-notch implants without burning a hole in your wallet. Your smile, your savings – it’s a win-win!

Many solutions – One implant

From solo implants to full-mouth solutions like an All-On-Four, we’ve got the fix for you! Your treatment, your way.

Pain free, easy appointments

Fearful of the dentist? Fear not! At your Saginaw dentist we provide options – nitrous oxide known as laughing gas, oral conscious sedation and IV sedation.

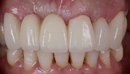
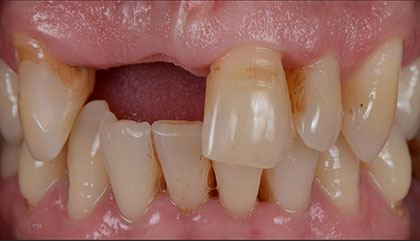
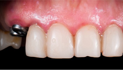
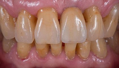
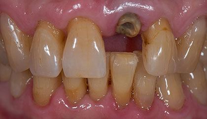
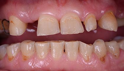
Love Your Smile, Love Your Implant

before
after
before
after
before
after
before
after

Opening Hours

DayHours
Monday8:30 a.m. - 5:30 p.m.
Tuesday8:30 a.m. - 5:30 p.m.
Wednesday8:30 a.m. - 5:30 p.m.
Thursday8:30 a.m. - 5:30 p.m.
Friday8:30 a.m. - 3:00 p.m.
Saturday8:00 a.m. - 2:00 p.m.
SundayClosed

YOUR Saginaw TEAM

Saginaw Office
Saginaw Office
Saginaw Office
Saginaw Office
Saginaw Office
Saginaw Office
Saginaw Office
Saginaw Office
Saginaw Office
Saginaw Office
Saginaw Office
Saginaw Office
Saginaw Office
MG
Mirna G.

Had an emergency appointment for my daughter, they gave me one same day and got it fixed. She was very gentle and awesome with my kid during the whole procedure. Definitely recommend! Great staff as well.

KS
Kimberly S.

Wow!!! The staff at this office are amazing!!! So personable but professional. I have a lot dental anxiety and they eased any ounce of doubt I had. I even switched offices!

AL
Amy L.

Fantastic office! Araceli, the office manager, is awesome! She definitely has your best interests at heart! Carole did my cleaning today and took her gums and is so gentle but thorough!!!! Can’t wAit fo see them again soon!

RN
Raylene N.

I have some pretty severe anxiety around dental stuff. This office was a pleasant experience, they are kind and explain everything very well. I'm having a root canal in a couple of weeks and will update on that experience.

You’ve made it this far. . .

FREE Teeth Whitening

Just ask at your first visit

Your Saginaw DENTAL IMPLANT EXPERTS

Frequently Asked Questions

How long does the dental implant process take?

While multiple appointments are involved, the exact timeline varies based on your individual needs. Here's a general timeframe:

  1. Potential Steps: There are typically 5 main steps, though some Patients may only require 3 depending on their situation.
  2. Average Timing: Each step has an average healing period, ranging from 3-6 months.
  3. Overall Completion: Most Today Dental of Saginaw patients complete the process in 4-5 months.

What's the cost involved in dental implants?

Implant costs can vary depending on individual factors, but typically range from $1,200 to $2,500 per implant. This price may not include additional procedures like extractions, bone grafting, abutments, or the final crown.

We understand cost concerns. At Today Dental of Saginaw, we strive to:

  • Work within your budget: We discuss options and explore ways to make implants accessible.
  • Maximize insurance benefits: We help you utilize your dental insurance to its full potential.
  • Offer flexible payment solutions: We provide our in-office CareDent Plan for additional discounts.

What happens during the first visit?

Comprehensive Evaluation: We assess your bone health, gums, and overall oral health to determine suitability for implants.

Transparent Treatment Plan: We present a detailed plan outlining the steps, timeline, and associated costs, avoiding any hidden fees.

Streamlined Process: Whenever possible, we try to start treatment on the same day, minimizing appointments.

Why choose dental implants?

Natural Look and Feel: Implants closely resemble natural teeth compared to dentures, offering superior aesthetics and function.

Long-Term Solution: Implants have a high success rate when properly cared for, offering a durable and reliable tooth replacement option.

Will it be painful?

Comfort is our priority: Our experienced dentist utilizes the latest technology and techniques to minimize discomfort during the entire process.

Pain Management Options: We offer various options including local anesthesia, sedation dentistry, and nitrous oxide to ensure a comfortable experience.