
Your Saginaw Dentist

Opening Hours
Day | Hours |
---|---|
Monday | 8:30 a.m. - 5:30 p.m. |
Tuesday | 8:30 a.m. - 5:30 p.m. |
Wednesday | 8:30 a.m. - 5:30 p.m. |
Thursday | 8:30 a.m. - 5:30 p.m. |
Friday | 8:30 a.m. - 3:00 p.m. |
Saturday | 8:00 a.m. - 2:00 p.m. |
Sunday | Closed |
Your Saginaw DENTURE EXPERTS
Frequently Asked Questions
How quickly can I get dentures?
Dentures can be ready in just a few weeks, significantly faster than dental implants which can take over a year. If you need a quick solution, we offer rush orders with temporary options available within 1-2 days. The typical timeframe for dentures involves 2-3 appointments spread over 3-4 weeks, depending on factors like whether it's a replacement or a new denture, healing time, and the type chosen.
How much do dentures cost?
Dentures are often a budget-friendly option compared to other tooth replacement methods, especially with insurance. They generally cost between $550 and $2,000, depending on factors like the number of teeth missing, the type and material of the denture, and insurance coverage. We offer an In-Office Discount Plan for those without insurance.
What happens during the first visit?
The dentist will discuss your options, explaining the process, timeline, and costs. They may take impressions of your mouth on the same day to start creating your dentures, reducing the number of appointments needed.
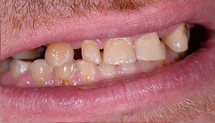
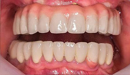
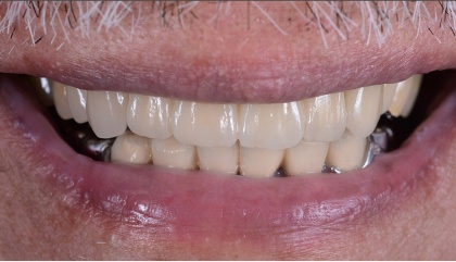
Why choose dentures?
Dentures can significantly improve your quality of life by allowing you to eat, speak, and smile with confidence again. They offer a versatile and affordable solution for missing teeth, even restoring your facial structure by preventing sagging. From full dentures to implant-supported options, we can find the perfect fit for your needs.
Do you repair dentures?
Yes! We prioritize efficiency, aiming to repair your dentures in 1-2 days in most cases. We prefer conservative methods, focusing on repairs whenever possible. Repairs are generally faster and more cost-effective than replacements.