
Your Saginaw Dentist

Opening Hours
Day | Hours |
---|---|
Monday | 8:30 a.m. - 5:30 p.m. |
Tuesday | 8:30 a.m. - 5:30 p.m. |
Wednesday | 8:30 a.m. - 5:30 p.m. |
Thursday | 8:30 a.m. - 5:30 p.m. |
Friday | 8:30 a.m. - 3:00 p.m. |
Saturday | 8:00 a.m. - 2:00 p.m. |
Sunday | Closed |
Your Saginaw ROOT CANAL EXPERTS
Frequently Asked Questions
Are Root Canals Painful?
Gone are the days of dreading the dentist's chair! Modern root canals are performed using advanced techniques and local anesthesia, ensuring minimal discomfort during the procedure. Most patients report feeling little to no pain.
Do Root Canals Weaken Teeth?
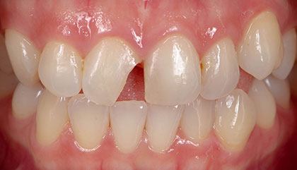
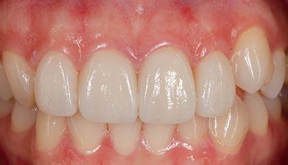
While it's true that root canals can leave some teeth (especially larger molars) more vulnerable to cracking, it's not always the case. Following treatment, the tooth loses its nerve and blood supply, making it more brittle. To strengthen the tooth and prevent future issues, dentists often recommend placing a crown on back teeth after a root canal. However, front teeth generally don't require crowns after root canal treatment.
Can I Get a Root Canal Today?
Absolutely! We understand the urgency of addressing pain, and at Today Dental of Saginaw, it's in our name to help you fast. We reserve specific slots in our schedule for same-day root canals, aiming to get you out of pain and on the road to recovery as soon as possible. If, in rare cases, our office is closed, we'll connect you with our partner clinic down the street for immediate care.
I Don't Feel Pain, Do I Still Need a Root Canal?
Often, the need for a root canal arises even in the absence of pain. This is because the tooth might already be dead (lacking a nerve), rendering it unable to experience pain. However, the infection inside the tooth can still spread and lead to serious complications like abscesses if left untreated. To accurately diagnose the need for a root canal, our dentists will conduct a thorough examination and review X-rays of your teeth.
Why Not Just Extract the Tooth?
While pulling a tooth may seem like a quicker and cheaper solution initially, it's often a false economy in the long run. Replacing a missing tooth with implants or dentures can be significantly more expensive than saving the natural tooth with a root canal (and potentially a crown). Additionally, every tooth plays a crucial role in maintaining the structure of your jaw and preventing surrounding teeth from shifting and becoming misaligned. Saving your natural teeth not only benefits your wallet but also contributes to a healthy, stable smile.